Acta Pharmaceutica Sinica B | 苏金团队参与研制针对纤维化疾病早诊的新型放射性药物
2021-11-052528近日,实验室苏金课题组与南方医院核医学科唐刚华教授团队合作,在肺纤维化早诊探针领域取得重要进展,相关研究成果以“Preclinical evaluation and pilot clinical study of [18F]AlF-labeled FAPI-tracer for PET imaging of cancer associated fibroblasts”为题发表在Acta Pharmaceutica Sinica B(中科院1区,IF = 11.413),其新型PET探针获得中国发明专利授权(202011085122.7)。
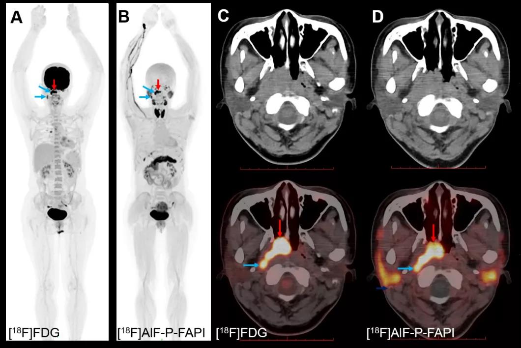
该研究设计了一种新型针对成纤维细胞活化蛋白(Fibroblast activation protein,FAP)的示踪剂,与国外报道的FAP示踪剂进行临床前体内外比较,并对1名鼻咽癌患者进行PET/CT成像,结果显示,化学改构提高了探针在病灶的摄取值和滞留时间,清晰显示出鼻咽癌患者的原发肿瘤和淋巴结转移。
该研究论文第一作者为南方医科大学南方医院胡孔珍副研究员,通讯作者为南方医科大学南方医院唐刚华研究员和呼吸疾病国家重点实验室苏金教授。
研究背景和意义
据权威数据统计,45%的人类疾病死亡与器官纤维化相关,任何器官都可因损伤而发生纤维化,肿瘤被称为是永不愈合的伤口,也属于广义的“纤维化疾病”。各类器官纤维化在细胞分子层面具有的共性特征是,成纤维细胞的过度激活和细胞外基质的过度沉积。
因缺乏无创灵敏的生物标记物,纤维化疾病确诊时往往已发展到不可逆转的中晚期,这被认为是特发性肺纤维化(IPF)患者确诊后平均存活期仅有3年的主要原因。虽然目前有两种抗纤维化药物获批临床,但是用药时机的判断及治疗效果的评价一直是这个领域的“卡脖子”问题。
成纤维细胞活化蛋白(Fibroblast activation protein,FAP)是一种具有丝氨酸蛋白酶活性的膜蛋白,被证实高表达于多种疾病状态下的活化成纤维细胞,但在人体正常组织中无表达。特异识别FAP的化合物(FAPI)在用于药物开发失败后,于2019年被德国海德堡大学的核化学专家偶联正电子核素68Ga,成功用于28种人类肿瘤的成像,这一突破性进展也被评选为核医学2019年的年度进展。
因此,进一步发展和优化核素标记的FAP示踪剂对广义纤维化疾病的诊断和治疗至关重要。近年来已报道的几种68Ga或18F标记的FAP示踪剂(图1)对FAP相关的疾病具有显像价值,但都存在着体内清除快、病灶中滞留时间短等问题。本文研制的新型FAP示踪剂[18F]AlF-P-FAPI具有病灶摄取值高、滞留时间长和体内稳定等优点,且自动化制备简便和放射化学产率高。初步临床试验证实,其对人体显像安全可行。因此,[18F]AlF-P-FAPI是一种有前途的核素显像剂,具有进一步扩大临床适应症研究的价值。

[18F]AlF-P-FAPI和[18F]FDG对鼻咽癌患者PET/CT显像图
原文链接:https://www.sciencedirect.com/science/article/pii/S2211383521003932?v=s5
















