何建行/梁文华团队首次提出肺癌转移淋巴结病理模式分型及微环境特征
2024-08-0512952024年7月,Nature系列学术期刊NPJ Precision Oncology(JCR: Q1,IF=6.8)在线发表实验室/广州医科大学附属第一医院/广州呼吸健康研究院/国家呼吸医学中心,何建行/梁文华团队在肺腺癌淋巴结转移领域的最新研究成果,题为“Prognostic patterns in invasion lymph nodes of lung adenocarcinoma reveal distinct tumor microenvironments”的研究。其中,劳深博士、陈子盛博士(广州医科大学附属清远医院)、王炜副主任医师为共同第一作者。
研究者通过观察肺腺癌转移淋巴结的内部形态特征,将肿瘤引流淋巴结(TDLNs+)可分为极化型和散在型,根据微环境(TME)特征分为胶原型、坏死型、特殊型和普通型。多因素生存分析表明,术后复发风险明显升高的TDLNs+特征包括:散在型(HR 2.37,95% CI:1.06-5.28),胶原型(HR 1.95,95% CI:1.03-3.67)和坏死型(HR 2.21,95% CI:1.13-4.89)。
转录组分析揭示散在和坏死型以免疫抑制和血管侵袭为特征,而单极和普通型则以免疫浸润为特征。进一步成像质谱流式(IMC)分析发现,预后不佳的散在型和坏死型的TME表现为生发中心(GC)破坏,GCB细胞和T细胞增殖受损,癌细胞有增殖潜能,弱免疫攻击现象。

研究亮点
本研究首次基于肺腺癌淋巴结转移的形态特征,对TDLNs+进行预后关联分型,描绘其免疫微环境特征,可能有助于后续筛选术后辅助免疫治疗获益人群。
研究背景
肺腺癌(LUAD)是最常见的NSCLC亚型,并与较大的预后异质性有关[1-4]。肿瘤引流淋巴结(TDLN)是肿瘤抗原暴露、调控和激发抗肿瘤免疫应答的关键场所,也是检查点阻断剂(ICIs)治疗所需的T细胞活化部位[5-6],同时TDLNs+也是不良临床结局的预测因素[7]。此外,TDLN+与原发灶病理学反应差相关,并可预测新辅助ICIs治疗后肿瘤快速复发[8]。TDLNs−富含肿瘤特异性PD-1+ T细胞,源于肿瘤特异性PD-1+ T细胞和树突状细胞(cDC)的PD-1/PD-L1互作密度,与肿瘤早期远处转移相关,而PD-L1阻断可引发有效的抗肿瘤免疫[9]。 这些发现表明TDLNs的微环境状态对于维持原发灶抗肿瘤免疫应答至关重要。
研究方法
回顾性分析广州医科大学附属第一医院胸外科2015-2019年,共312例可切除肺腺癌的5619个淋巴结。根据肺腺癌转移形态特征,肿瘤引流淋巴结(TDLNs+)可分为单极和散在型,免疫微环境(TME)分为胶原、坏死、特殊和普通型,对每种特征进行预后分析,同时基于NanoString转录组和IMC描绘其TME特征。
研究结果
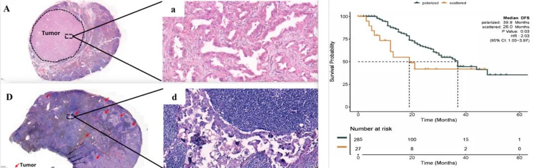
单极型(A)沿着一个方向浸润,而散在型(D)呈烟花状分散浸润。单极型预后明显优于散在型,中位DFS 39.9 vs 26.0个月(HR 2.03, 95%CI 1.05-3.97)。

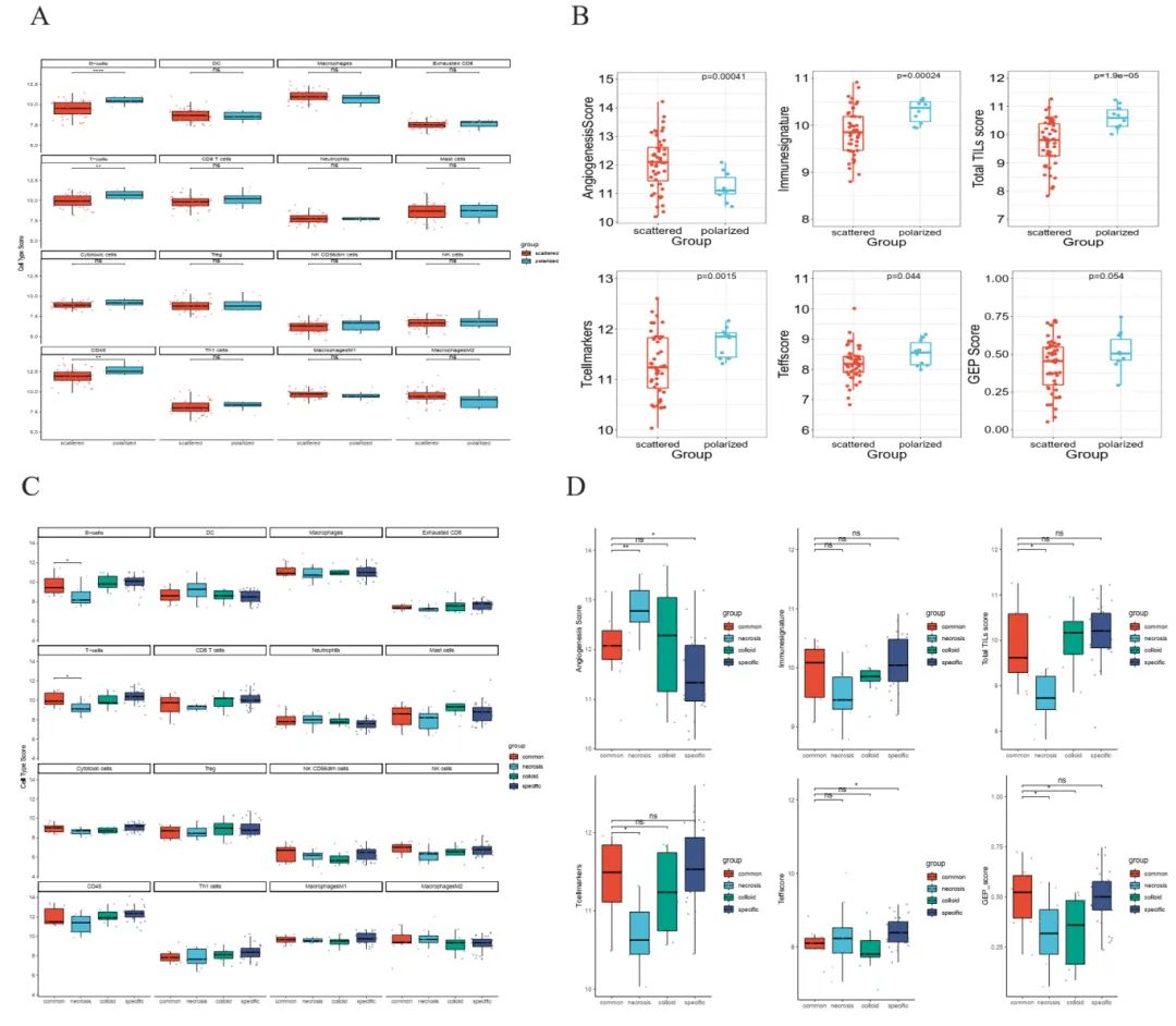
根据TDLNs+微环境特征,分为A-D:胶原型(胶原成分>20%)、坏死型(瘤内出血、坏死)、特殊型(可见玻璃样变性、砂粒体)和普通型(缺少胶原,无坏死、玻璃样变性和砂粒体)。预后分析表明普通型最佳,特殊和坏死型较差。

与术后预后较好相关的TDLNs+模式是单极和普通型,转录组分析提示这两种模式明显富集免疫细胞浸润和低血管新生信号,预后差的模式则相反。单极型表现为CD45+免疫细胞信号富集,包括肿瘤浸润T细胞(TILs)、T细胞,而散在型富集血管新生信号,同时低表达TILs、T细胞信号等。与普通型比较,坏死型低表达免疫浸润信号,包括T、B、NK、Th1和CD8+ T细胞, 且富集免疫抑制性DC和M2细胞,同时也高表达血管新生信号。

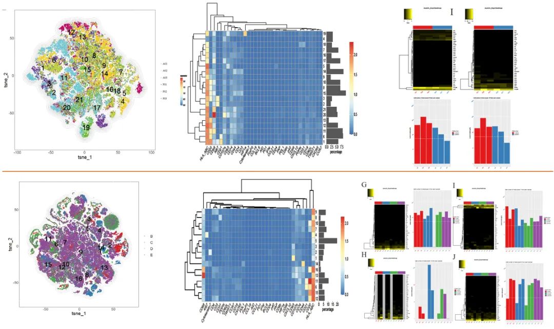
IMC检测提示散在型富集HLA_ABCloCD20lo CD21lo 和 PDPNhiCD31hi ,提示低免疫和抗原提呈、高淋巴管新生;坏死型富集PDPNhiCD31hi 和CK7hiCD44hiHLA_ABClo 提示淋巴管新生和癌细胞干性特征;胶原型富集CD63/Lamp3hiCD68loHLA_ABClo 提示低抗原提呈;普通型富集HLA_ABChiCD3hiCD4hiCD68hiCD107ahi 提示高免疫浸润和抗原提呈。

此外,IMC发现单极型血管结构完整,在CD 31+血管系统内可见抗原特异性PD-1+ CD8 +T细胞;散在、坏死、特殊型与较短的DFS相关,共同特征包括肿瘤细胞表达Ki-67(特别是坏死型),IFN-γ低表达(现弱免疫攻击现象),低PD-L1表达,FAP+FRC网络和GC结构破坏,Ki-67+ CD 20 +GCB细胞、Ki-67+T细胞缺失,无抗原特异性PD-1+ CD8 +T细胞富集,GC外CD4 +T与CD8 +T细胞间存在不规则互作网络,PDPN+成纤维细胞和CD 68+巨噬细胞排列紊乱(特别是散在型),并且脉管系统变形和不规则(特别是散在型),与NanoString转录组观察到的现象一致。

研究结论
肺腺癌不同的TDLNs转移模式与术后复发风险显著相关,与术后复发风险高的TDLNs+模式主要表现为低免疫细胞浸润和高血管新生信号特征。
总结与展望
这项研究解析了肺腺癌TDLNs+转移模式与免疫微环境特征,首次提出了术后复发风险相关的TDLNs+病理分型。未来,研究者计划将TDLNs+病理分型纳入预后评估体系,并进一步探索其与各类临床表型(复发转移、治疗敏感性)之间的关联性及机制。
参考文献:
1. Howlader, N., Noone, A., Krapcho, M. SEER Cancer Statistics Review,1975–2014, https://seer.cancer.gov/archive/csr/1975_2014/ (2017).
2. Tavernari, D. et al. Nongenetic Evolution Drives Lung Adenocarcinoma Spatial Heterogeneity and Progression. Cancer Discov. 11, 1490–1507 (2021).
3. Herbst, R. S., Morgensztern, D. & Boshoff, C. The biology and management of non-small cell lung cancer. Nature 553, 446–454 (2018).
4. Ci, B. et al. Molecular differences across invasive lung adenocarcinoma morphological subgroups. Transl. Lung Cancer Res.9, 1029–1040 (2020).
5. Fransen, M. F. et al. Tumor-draining lymph nodes are pivotal in PD-1/PD-L1 checkpoint therapy. JCI insight 3, https://doi.org/10.1172/jci.insight.124507 (2018).
6. Ho, W. J. et al. Multipanel mass cytometry reveals anti-PD-1 therapymediated B and T cell compartment remodeling in tumor-draining lymph nodes. JCI Insight 5, https://doi.org/10.1172/jci.insight.132286 (2020).
7. Goldstraw, P. et al. The IASLC Lung Cancer Staging Project:Proposals for Revision of the TNM Stage Groupings in the Forthcoming (Eighth) Edition of the TNM Classification for Lung Cancer. J. Thorac. Oncol. 11, 39–51 (2016).
8. Yang, H. et al. Multi-scale characterization of tumor-draining lymph nodes in resectable lung cancer treated with neoadjuvant immune checkpoint inhibitors. EBioMedicine 84, 104265 (2022).
9. Dammeijer, F. et al. The PD-1/PD-L1-Checkpoint Restrains T cell Immunity in Tumor-Draining Lymph Nodes. Cancer Cell 38, 685–700.e688 (2020).
原文链接:https://www.nature.com/articles/s41698-024-00639-1
















